Accueil  -  Presentation  -  Services  -  Indications  - Galerie abdo - Contact

Présentation des services proposés aux vétérinaires

Vous êtes ici: Galerie > Galerie abdominale > Cas n:8
 




Cas cliniques en pathologie abdominale
retour sommaire des cas cliniques
cas 8: Diarrhée chez une chienne agée

Historique:
Une chienne beauceron, agée de 12 ans est présentée pour diarrhée secondairement à un vermifuge. L'animal a maigri recement de façon significative, selon l'envie du propriétaire qui trouvait son compagnon obèse.

Examen général:
L'examen général montre une chienne en assez bonne forme, mais présentant de la fièvre, avec une diarrhée, pas de vomissement, et un appétit conservé. La palpation abdominale est souple, et présente une masse assez grosse (taille d'une orange) dans la partie abdominale craniale droite, sans douleur. Le poids est de 31 kg, l'ausculation cardiaque est normale.

Examens complémentaires:

Coproscopie:
négative.

Hématologie et biochimie:

La Numération-Formule présente une très forte augmentation des GB (30.000/mm3) avec une neutrophilie nette, la biochimie ne révelle aucune anomalie au niveau des reins, du foie, des muscles, et du pancréas.

Echo abdominale:
L'echogrphie est pratiqué.

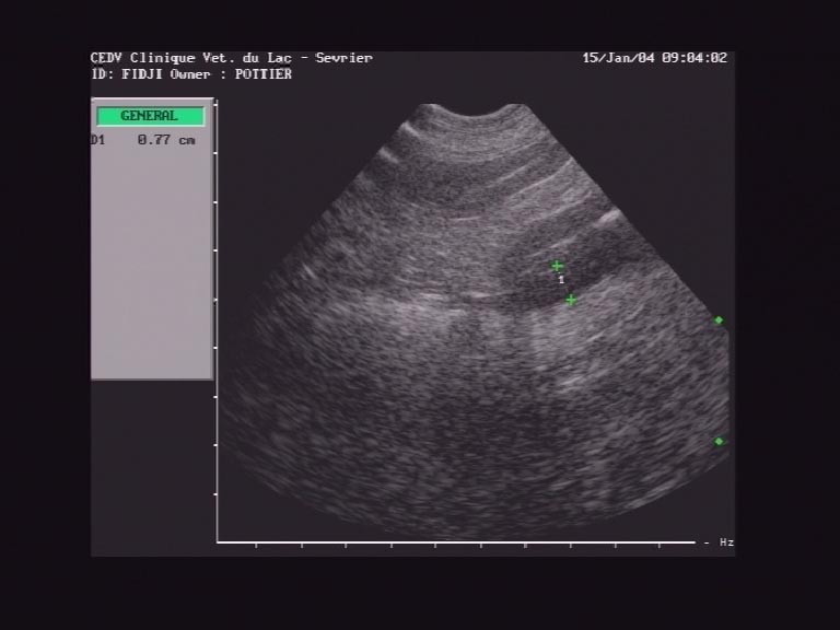
Image en coupe longitudinale d'une masse evoquant une tumeur digestive
Doppler couleur sur un vaisseau pénetrant le NL réactionel
Image 1
Image 2

L'examen échographique BD est pratiquée. la partie antérieure droite de l'abdomen est explorée. Dans un premier temps, une image supecte ressemblant à une anse digestive dont la paroi est infiltrée (epaississement à 8 mm) est mis en évidence (photo 1). Puis la masse palpable est analysée et présente plusieurs lobes d'echogénicité homogène, avec une forte vascularisation analysée au doppler couleur (photo 2) et au doppler continu. Cette dernière structure peut s'interpréter comme un noeud lympatique réactionnel. Diverses biopsies sont réalisées sur l'anse digestive et le NL.

Conclusion:
Tumeur infiltrative de la paroi intestinale avec envahissement lymphatique.
 

Evolution :
La chienne est traitée par antiobiques quelques semaines (association Enrofloxacine-Amoxicilline) afin de traiter la sur-infection secondaire aux lésions tumorales, et ne présente rapidement plus de fièvre, et un retour à une NF normale. La chienne reprend du poids et de la vitalité, et ne présente plus aucun signe digestif.

Histologie :
L'analyse histologique confirme l'hypothèse tumorale, et est en faveur d'un mastocytome.
 
 
 



 
 

Accueil
ou
Retour sommaire des cas cliniques en pathologie abdominale

Copyright C.E.D.V. - 2004 - Webmaster -