Accueil  -  Presentation  -  Services  -  Indications  -  Galerie cardiaque  -  Contact

Vous êtes ici: Galerie > Galerie cardiaque > Présentation n:1



Insuffisance mitrale

        L'insuffisance mitrale est sans aucun doute la pathologie mitrale et cardiaque la plus fréquente en médecine vétérinaire.

        Par définition, l'I.M. se traduit par une perte de l'étanchéité de la valve mitrale qui devient fuyante à chaque systole ventriculaire gauche. Ceci se traduit au niveau hémodynamique par un reflux sanguin du ventricule gauche dans l'auricule gauche, entrainant ainsi une surcharge de sang au niveau de l'oreillette gauche (OG), engendrant une dilatation de cette cavité.
Le mécanisme peut se répercuter en amont par un mécanisme tout simple: l'augmentation de pression dans l'OG entraine une augmentation de pression dans les 4 veines pulmonaires qui s'abouchent dans l'OG, entrainant au niveau pulmonaire une fuite d'eau dans les alvéoles depuis le territoire vasculaire. Tout ceci aboutit à l'O.A.P. et à la visite en urgence chez son vétérinaire!

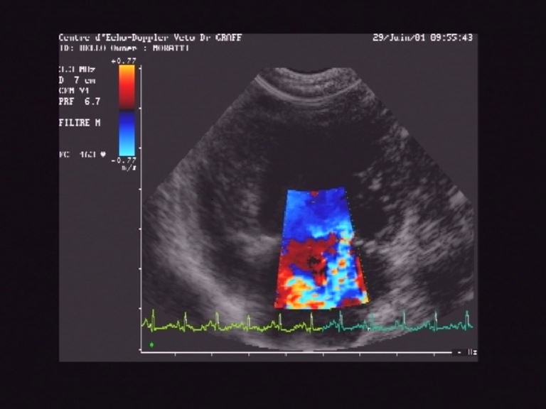
IM massive sur un chien présentant une endocardite infectieuse, le diametre de la régurgitation est important signant une IM grave      Au niveau anatomique, la valve mitrale est la valve qui ferme l'auricule gauche et le ventricule gauche au moment de la systole. Elle est composée de 2 feuillets: le grand feuillet mitral ou valve antérieure, et le petit feuillet ou valve postérieure. Ces deux feuillets s'insèrent sur un anneau à peu près circulaire, et sont retenus dans leur partie libre par des cordages qui s'insèrent dans le ventricule au niveau des piliers du VG. Les cordages interdisent aux feuillets de s'éverser dans l'auricule gauche au moment de la systole pour que la fermeture reste étanche.

        Avant la décompensation, il est possible d'avoir des indices de cette pathologie: le souffle cardiaque engendré par l'IM est assez caractéristique en "jet de vapeur" et est classé de 1 à 6 selon l'intensité (1: souffle très faible à 6: souffle très marqué, voir tableau). Ce souffle est systolique, et s'entend bien dans l'air de projection mitrale, du coté gauche, au cinquième espace inter-costal , à la jonction chondro-costale. La toux est aussi présente chez les animaux atteints, même si le propriétaire ne le perçoit pas comme une toux à proprement parler (description par le propriétaire d'efforts pour recracher quelque chose, ou toux très faible après effort ou excitation, le motif de consultation est parfois: "mon chien a du avaler quelque chose, il essaie de cracher ou de vomir"). L'examen général méthodique permet donc d'orienter le diagnostic et surtout de détecter une anomalie d'origine cardiaque.
 

Intensité
1
2
3
4
5
6
Signes cliniques
Entendu au bout de plusieurs minutes d'auscultation Entendu très vite, mais d'intensité légère Souffle d'intensité légère à modérée Souffle bruyant sans thrill Souffle bruyant avec thril Souffle audible sans stéthoscope

Tableau: Quantification du souffle selon L.P. Tilley et M.S Miller


 






        L'examen et l'audition d'un souffle systolique éjectionnel n'est pas pathognomonique d'une IM, en effet, le retrécissement aortique, la cardiomyopathie obstructive, l'insuffisance tricuspidienne, et les C.I.V. engendrent des souffles aux mêmes caractéristiques, et se traitent très différement. De plus l'intensité du souffle n'est pas proportionnelle à la gravité de la pathologie cardiaque, puisque le souffle est proportionnel à la différence de pression entre les 2 cavités communicantes et inversement proportionnel à la dimension de l'orifice pathologique. Ainsi, un souffle d'IM à bas débit (pressions basses), et à travers une surface de regurgitation très grande sera peu audible, et pourtant la pathologie sera avancée.

        L'évolution de l'IM est toujours la même: aggravation plus ou moins rapide selon l'efficacité du traitement, sa mise en place précoce ou tardive, le caractère chronique ou aigu, et le mécanisme en cause pour l'IM. Pour le moment la chirurgie de prothèse mitrale n'est pas encore utilisée, mais cela risque d'arriver dans un avenir plus ou moins proche, permettant une amélioration exceptionnelle de la qualité de vie du patient et un retour à une vie quasi normale, tout comme cela est observé en médecine humaine.
 
 




Retour haut de page


 



Apport de l'échographie doppler en pratique

IM sur un chien, vue parasternale droite grand axe, le grand flux bleu ne devrait pas existerL'echodoppler cardiaque permet de poser le diagnostic d'IM avec certitude, même si celui-ci peut parfois sembler évident. A la fin d'un examen cardiaque par echodoppler, il est possible de faire un état des lieux des lésions et evaluation de la fonction cardiaque: quantification de la fuite (de 1 à 4, suivant la gravité), importance de la dilatation des différentes cavités, mécanisme engendrant cette fuite mitrale (dilatation de l'ensemble du coeur dans le cadre d'une C.M.D, pathologie mitrale primaire type endocardiose mitrale, rupture de cordages, ou lésions valvulaires consecutives à une endocardite mitrale, par exemple), évaluation de l'efficacité cardiaque.

L'échodoppler cardiaque permet de distinguer une IM aigue mal tolérée d'une IM chronique d'évolution lente où des mécanismes compensateurs sont mis en place pour améliorer les troubles hémodynamiques (système rénine angiotensine par exemple). Dans le cas de l'IM aigue, les cavités seront peu dilatées, la fuite importante et les repercussions cliniques très marquées (O.A.P, signes de décompensation cardiaque très nets, etc...); en revanche, dans l'IM chronique, les cavités seront bien dilatées, et les signes plus discrets sauf au moment de la décompensation gauche et/ou globale.

De plus, au niveau compréhension du propriétaire, il est souvent plus facile d'expliquer la pathologie photo à l'appui que par des grandes explications abstraites, ce qui engendre une meilleure prise de conscience de la nécessité d'un suivi régulier, et d'une adaptation du traitement avec l'évolution de la pathologie: intéret de l'I.E.C, administration de diurétiques dés le diagnostic ou non, ajout d'un digitalique, régime hyposodé, surveillance de la fonction rénale, etc...
 
 


Retour haut de page


 




 
 



Accueil

Copyright C.E.D.V. - 2002 - Webmaster -